Khi đau răng khôn bạn nên đến bệnh viện hoặc nha khoa, vì mọc răng khôn cũng có nhiều vấn đề phát sinh mà chúng ta không thể lường hết được cũng như với những bệnh nhân có tiền sử bệnh. Cách tốt là gặp bác sĩ để thăm khám và chẩn đoán đưa ra hướng điều trị hợp lý.
Tuy nhiên, cũng có những trường hợp không thể đến bác sĩ vì một số lý do như: kinh tế, thời gian…thì bạn có thể tạm thời dùng thuốc giảm đau, kháng viêm để xoa dịu cơn đau, ăn uống đầy đủ chất dinh dưỡng để sức khỏe luôn được ổn định.
Mọc răng khôn uống thuốc gì?
Hầu hết các trường hợp mọc răng khôn đều gây đau nhức và sốt cao, những trường hợp răng khôn mọc lệch lại càng nguy hiểm hơn. Mọc răng khôn uống thuốc gì? Có người chỉ đau nhẹ, có người đau nhiều, nên tùy vào trường hợp sẽ được chỉ định các loại thuốc giảm đau khác nhau. Thường để giảm bớt các cơn đau do răng khôn gây ra, các bác sĩ sẽ khuyên bạn sử dụng các loại thuốc kháng sinh tùy theo những triệu chứng khác nhau.

Trường hợp đau nhẹ, bạn có thể uống thuốc kháng sinh Spiramycin . Còn nếu cơn đau kéo dài dữ dội, bạn có thể uống Paracetamol. Sử dụng thuốc giảm đau sẽ nhanh chóng làm dịu cơn đau, nếu sau khi dùng thuốc mà bạn vẫn thấy đau nhức thì bạn nên đến các cơ sở nha khoa để được thăm khám. Nhiều người xem thường việc mọc răng không, nhưng răng khôn trong trường hợp mọc lệch sẽ gây nguy hiểm cho bạn. Quy tình tẩy trắng răng an toàn.
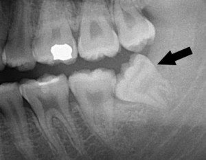
Có nên nhổ răng khôn
Nếu sau vài ngày uống thuốc mà tình trạng không khỏi thì không nên xem nhẹ. Bạn nên nhớ, đau mọc răng khôn uống thuốc gì chỉ là phương án tạm thời không phải là phương pháp điều trị với răng khôn. Đa số các trường hợp mọc răng khôn đều được bác sĩ khuyến cáo nên nhổ bỏ để ngăn ngừa các bệnh răng miệng.
Răng khôn mọc lệch sẽ có nguy cơ gây sưng lợi, viêm nướu, việc vệ sinh răng miệng khó sẽ là cơ hội cho vi khuẩn xâm hại. Vì vậy, không nên xem thường việc mọc răng khôn, phải theo dõi và điều trị để tránh làm ảnh hưởng đến các răng bên cạnh.
Kỹ thuật nhổ răng tại các nha khoa hiện nay không hề gây đau đớn và không chảy máu nhiều. Quy trình thực hiện an toàn, các khâu đều qua khử trùng vệ sinh nên sẽ đem đến cảm giác thoải mái cho bạn.
Trên đây là những chia sẻ về vấn đề mọc răng khôn uống thuốc gì, hy vọng sẽ giúp các bạn có thêm những kiến thức bổ ích. Nếu còn điều gì thắc mắc bạn có thể đến trực tiếp tại nha khoa Đăng Lưu để được thăm khám và tư vấn miễn phí.
Bài viết được trích nguồn từ: https://nhakhoarangsudangluu.blogspot.com
Thông tin liên hệ:
Trung tâm nha khoa Đăng Lưu
Cơ sở 1: 34 Phan Đăng Lưu, P.6, Q.Bình Thạnh - (+84 8) 6297 7148
Cơ sở 2 : 540 Trần Hưng Đạo, P.2, Q.5 - (+84 8) 6682 0246
Hotline: (+84 8) 66820246
Ngavvt
Không có nhận xét nào:
Đăng nhận xét